Galéria – képek fogászati kezeléseinkről
Implantológia
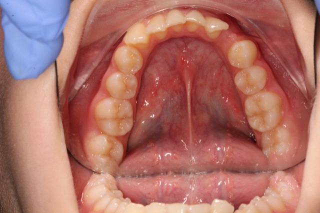
Teljes implantációs fogpótlás kétoldali csontpótlással
A hölgy páciens gracilis csontozata szükségessé tette az implantációt megelőzően a csontpótlást, így kétoldali sinusemelést követően 6 hónap várakozás után került sor az implantátumok beültetésére és az ideiglenes rögzített pótlás elkészítésére.
implantacio_elott_1
implantacio_utan
rtg_implant_elott
rtg_implant_2
implantacio-arc_mosoly_1
implant_csapat
Előtte
Utána
Teljes felső implantációs fogpótlás
Az utóbbi 2-3 évben kezdtek tünetek jelentkezni ezeket első körben konzervatív módon a gyökérkezelés felfrissítésével, majd később a fogak rezekálásával próbáltuk kezelni.
implantacio_rtg_3
implantacio_utan_3
implantacio_utan_1
Előtte
Utána
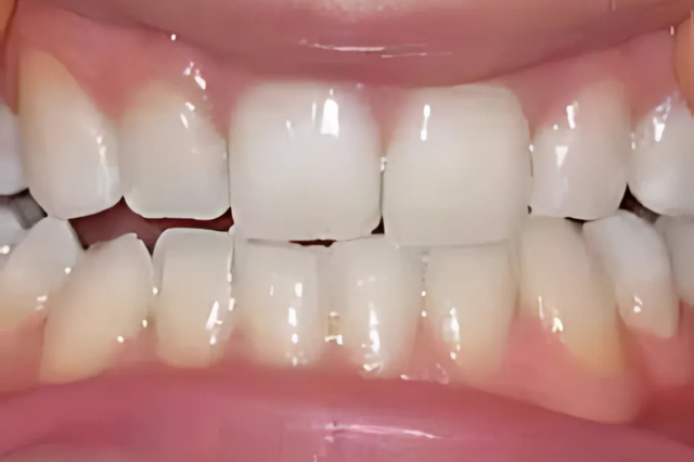
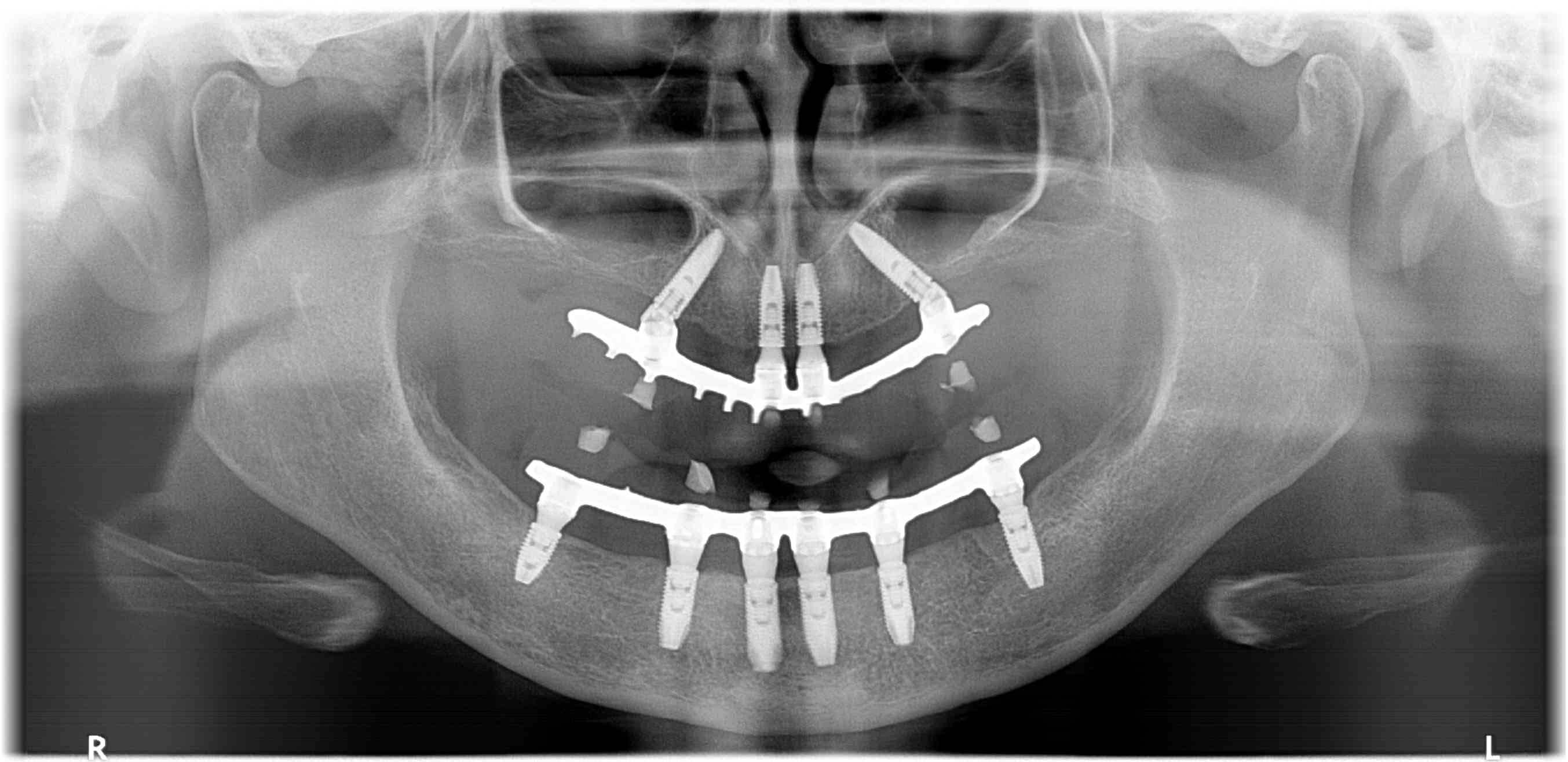
Implantációs fogpótlás – teljes rehabilitáció
AllOn4 és AllOn6 implantációs megoldással, halasztott implantációval és azonnali megterheléssel készítettünk rögzített ideiglenes pótlásokat.
a4-mutet-elott-2
a4-mutet-utan-2
allon4_OP_P1
rtga4_mutet_utan1
rtga4_mutet_utan2
a4_mutet_utan3
a4_mutet_utan2
Előtte
Utána
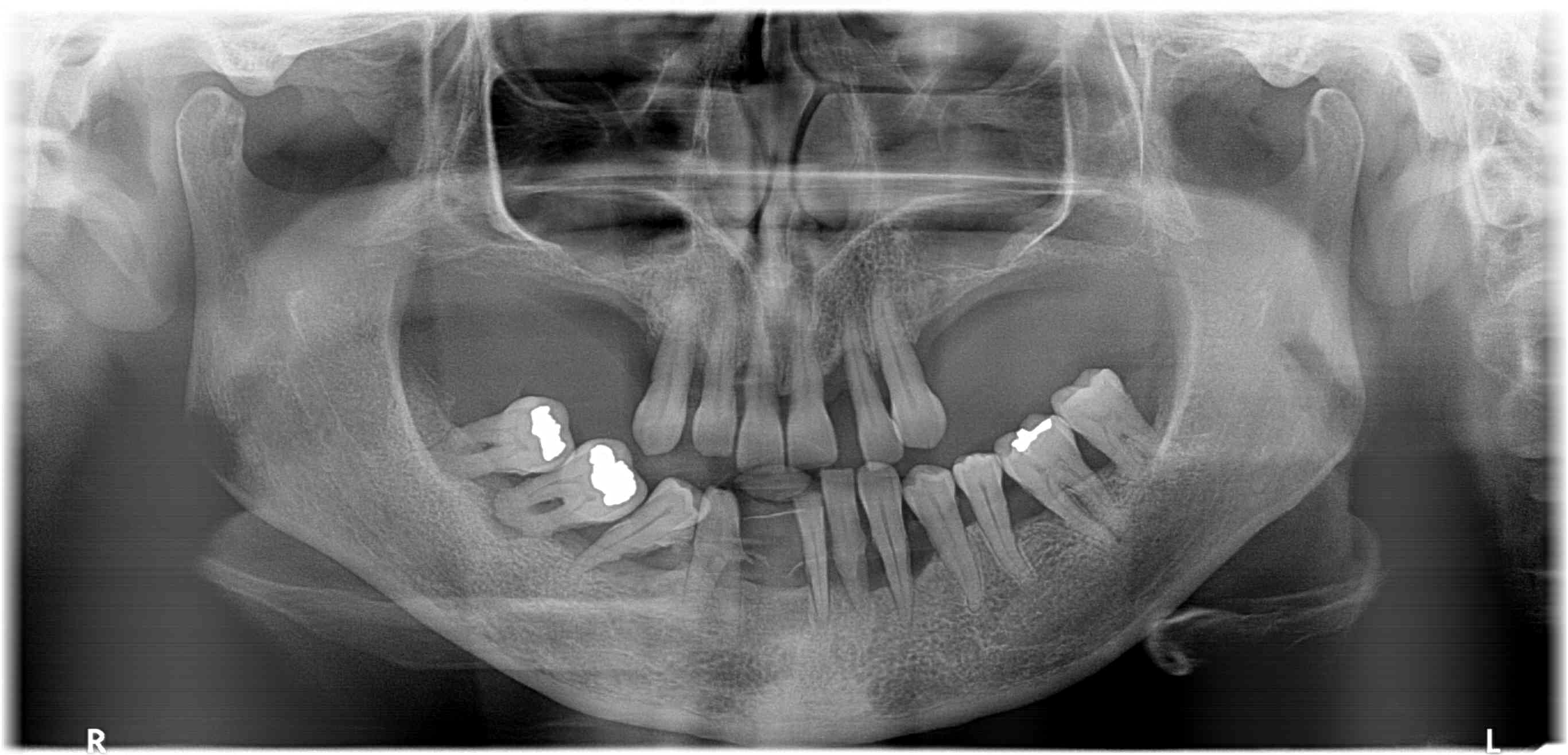
Fogbeültetés, implantáció
A tervezés során felmerült a felső régióban megmaradt összesen 2-2 darab saját fog eltávolításának lehetősége, de páciensünk nagyon ragaszkodott ezek megtartásához.
implantacio2
implantacio12
implantacio5
implantacio7
implantacio8
implantacio10
implantacio11
Előtte
Utána
Szájsebészet
Papillóma eltávolítás
A kimetszett elváltozást szövettani vizsgálatra küldtük, ami igazolta az elváltozás jóindulatú voltát.
papilloma-mutet-elott
IMG_9065
papilloma_mutete.lott1
papilloma-mutet-utan-1het
papilloma-mutet-utan-4het
papilloma-mutet-utan-16het
Előtte
Utána
Protetika és konzerváló fogászat
Cirkon-oxid kerámia restauráció
A harapási magasság ilyen mértékű megnövelése lehetővé tette az eredetivel megegyező méretű fogak elkészítését.
cirkon1
cirkon9
cirkon4
cirkon8
cirkon10
Előtte
Utána
Csiszolás nélküli Adhesív-híd
Az adhesív híd csak abban az esetben javasolt hosszú távú megoldásnak, ha a fogbeültetés valmilyen indokkal nem kivitelezhető!
kep-1_nagy
kep-6_nagy
kep-2_nagy
kep-3_nagy
kep-4_nagy
kep-5_nagy
Előtte
Utána
Préskerámia korona (fémmentes)
A beavatkozás előtt a teljes fogazatot fehérítettük, ezt követően került sor a Jacket koronák elkészítésére, majd végül kicseréltük az elütő színű régi töméseket.
jacket_2
jacket_10
jacket_4
jacket_7
jacket_8
jacket_9
Előtte
Utána
Esztétikus tömések
A fog még a mosolyzónába esett, így páciensünk nagyon aggódott annak esztétikus rendbehozatala miatt.
fogtomes_1
fogtomes_2
Előtte
Utána
Gyökértömés
Előzetes vizsgálatot követően ismertettük a páciensünkkel a lehetséges alternatívákat és a várható prognózist.
gyokerkezeles_1
gyokerkezeles_2
Előtte
Utána
Fémkerámia-híd
Fiatal férfi páciensün azzal a kéréssel fordult hozzánk, hogy erőteljesen elhanyagolt fogazatát próbáljuk rendbe hozni.
fkhid1
fkhid4
Előtte
Utána
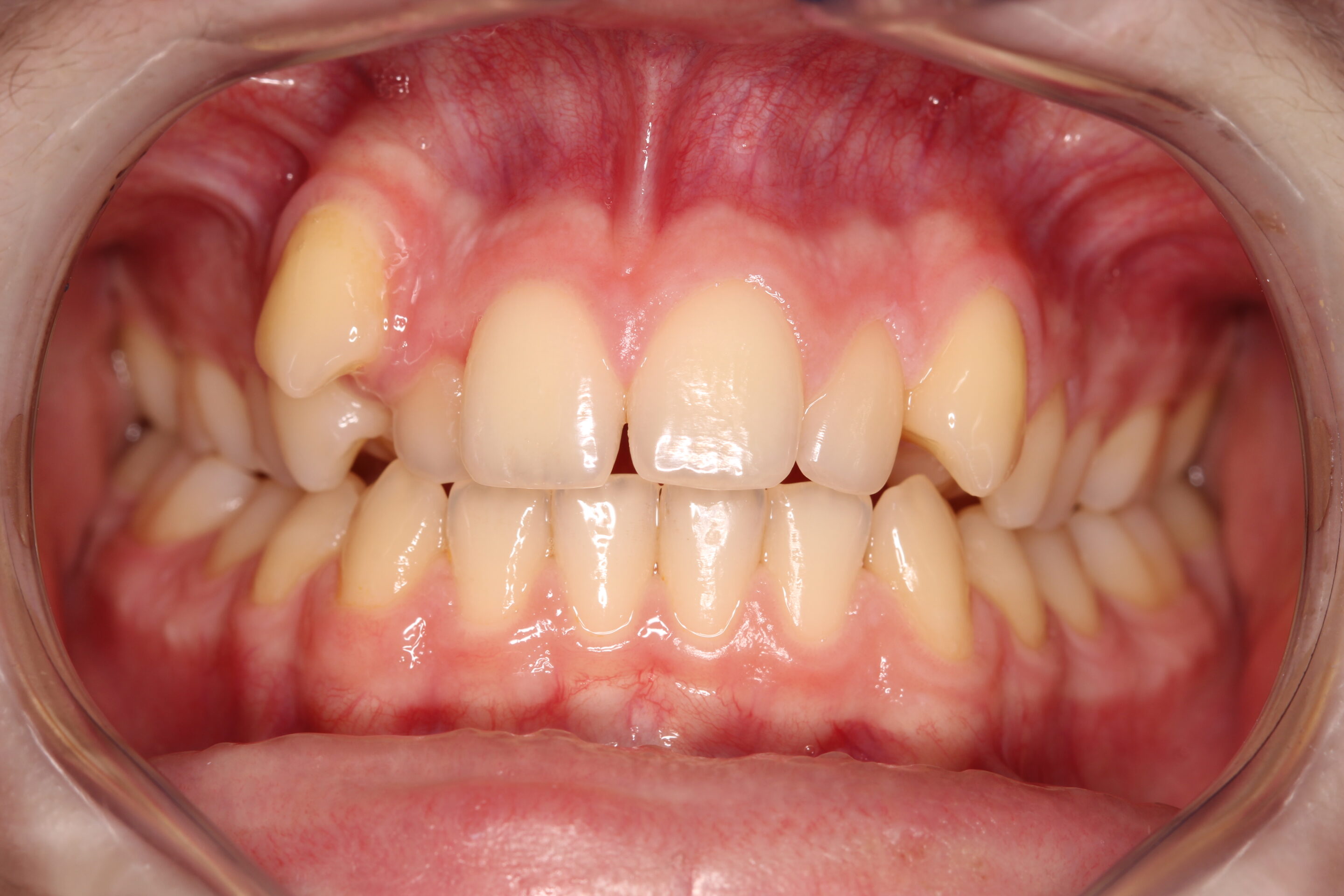
Fogszabályozás
Felső fogsor szabályozás
A páciens felső metszőfogai erősen torlódtak, ami esztétikai és funkcionális problémát okozott. A kezelés után harmonikus, szabályos fogív alakult ki.
Felso-fogsor-szabalyozas-elott
Felso-fogsor-szabalyozas-utan
Előtte
Utána
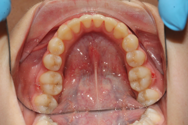
Alsó fogív rendezése
A páciens alsó metszőfogai torlódtak, amit rögzített készülékkel korrigáltunk, így szabályos és harmonikus fogív alakult ki.
also-fogiv-rendezes-elott
also-fogiv-rendezes-utan
Előtte
Utána
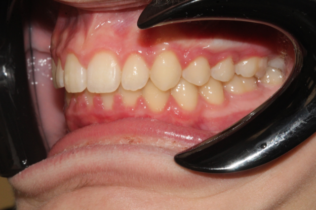
Fogív rendezés
A frontfogak torlódását és a harapás eltérését sikeresen korrigáltuk, így a fogív szabályossá vált, a rágófunkció javult és az esztétikai megjelenés is sokkal harmonikusabb lett.
Fogiv-rendezes-elott
Fogiv-rendezes-utan
Előtte
Utána
Higiéniai és esztétikai kezelések
Fogfehérítés
A kezelés végeztével a jobb felső egyes színe a többihez hasonlóvá vált. Következő lépésben a páciens összes fogát fehérítettük.
fogfeherites elott
fogfeherites utan
belso-fogfeherites_2
Előtte
Utána
Kapcsolat
Foglaljon időpontot telefonban, e-mailben, vagy akár online. Sürgős esetekben hívja a mobilszámunkat. Online vagy e-mailben történő bejelentkezéskor kérjük adjon meg hosszabb időintervallumot, vagy több lehetséges időpontot. Köszönjük.
Rendelőnk
1094 Budapest, Ferenc körút 41. 1. em. 2.

